
什么是“彩超”?
很多人看到“彩超”两个字就会很自然地联想到“彩色电视”,认为彩超的图像应该像电视上显示的那样,是五颜六色的。彩超的“彩”字在医学上是“彩色多普勒”的简称,是一种超声的成像技术。

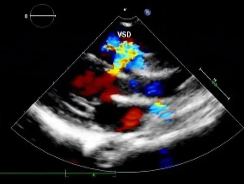
彩色多普勒技术主要用红色和蓝色来显示组织器官内血液的不同流向,颜色的不同能够帮助超声医生分辨血液朝哪个方向流动。如果血液的流动方向朝向探头,图像显示为红色,反之血液的流动方向背向探头,则图像显示为蓝色。因此,图像显示为红色、蓝色与动静脉分类无关。颜色越鲜亮,就说明这里血液流动的速度越快,颜色越暗淡,就说明血液流动的速度越慢。

彩色多普勒常用于观察心脏、血管、脏器供血及肿瘤滋养动脉的多少和走行。在先天性心脏病患者中,根据血流的方向、部位发生的异常情况,彩超可以追踪到心脏壁及间隔上的缺损。应用彩色多普勒技术能找到更多的诊断疾病的信息,为疾病的诊断及治疗提供有效的依据。
彩超对身体健康没有影响,是一种安全、无创的检查方法。超声检查的原理是超声波成像,不形成放射线,对人体几乎没有影响。刚出生的小宝宝也可以放心做。